老人家中摔倒,肝肾挫裂伤出血到休克,介入术捡回一命_腾讯新

2021-07-29 信安智囊 166

血液是人体生命的源泉和动力,成年人出血量超过800―1000ml时就可引起休克,危及生命。介入栓塞术止血迅速有效且复发率低,目前已经是许多疾病急症止血的首选方法。湖南航天医院放射科介入团队用他们精湛高超的技术和高度负责的态度,为救治赢得一线生机,挽救了患者生命。

图片关键词

▲介入手术治疗

7旬老人出血性休克,介入栓塞止血救命

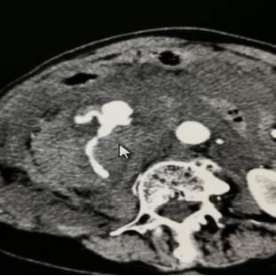
今年78岁的李��玻�因在家意外摔跤受伤后感腹部疼痛2小时,疼痛以右下腹为主,被紧急送入湖南航天医院急诊诊治。在急诊科,医生予以体格检查并进行全腹部CT平扫+增强检查,发现李��玻河疑鐾耆�性破裂并活动性出血,肝挫伤,多发肋骨骨折。患者的出血量极大,出血总量近3000毫升,血压持续下降,严重失血性休克,��惨馐兑丫�模糊,如果休克不能及时纠正,很难挺过生命大关。急诊科马上联合放射科、泌尿外科阅片,专家们立即决定实施“右肾动脉造影+栓塞术、肝动脉造影+栓塞术”急诊止血。

图片关键词

▲右肾周围巨大血肿伴右肾显著活动性出血(白箭头所指为造影剂喷射样溢出)

图片关键词

▲大量造影剂溢出(白箭头所指白色不规则影均为出血)

“我们通过肾、肝部的血管造影,找到动脉损伤的出血点,并对其进行栓塞。”湖南航天医院放射科介入团队立即为患者实施肾、肝部的动脉栓塞术。从CT检查到进入导管室进行手术整个流程仅花费十来分钟,在输血科提供血液保障和抗休克及麻醉科的全力保障下,整个手术过程仅40分钟左右,医务人员成功地为患者抢回了一直下滑的血压,为患者生命的延续提供了重大的前提。术后患者在重症监护室医护人员的精心照料下,一周后转入的泌尿外科普通病房。目前,李��惨芽蹈闯鲈骸�

图片关键词

▲术中

右肾广泛活动性出血(不规则条带状、絮状低密度灶)

图片关键词

▲术后

右肾动脉主干栓塞后造影显示活动性出血消失

出血不可怕,微创介入治疗效果好

7月,湖南航天医院收治四名多种原因肾出血患者,有自己摔跤所致的,工地上高处坠落所致的,车祸所致的,巨大错构瘤自发大出血的,均在急诊科、泌尿外科、放射科、麻醉科、输血科紧急评估后并实施急诊介入手术后成功止血,术后伤者生命体征平稳,部分出血严重、年龄大的病友转入重症医学科(ICU)进行进一步的观察治疗后,均取得了良好的预后效果。介入治疗肾出血对患者的创伤小、效果好,达到以最小的创伤的同时最大限度地保留肾功能。同时,因为创伤小、简便安全、有效、并发症少的特点,明显缩短了患者住院时间,这些符合“微创”现代医学理念的优势也使得介入治疗日渐受到青睐。

――湖南航天医院放射科医生肖鹏介绍

据悉,湖南航天医院放射科介入团队在陈富强主任、肖鹏主治医师的协作下,配合医院多学科联合诊疗,已为数百名出血患者成功的进行了介入止血手术,为医院的多学科建设及发展提供了强有力的技术支持。

目前湖南航天医院放射科外周介入开展的业务:

出血性疾病:大咯血、消化道出血、创伤性出血、医源性出血、瘢痕妊娠引产(清宫)出血、凶险性前置胎盘产后大出血等。

血管外科:下肢动脉急慢性闭塞血管成形,动静脉狭窄支架植入,主动脉夹层,腹主动脉瘤腔内成形,大隐静脉曲张射频消融治疗。

血管性介入:子宫肌瘤、子宫腺肌症(痛经)的介入栓塞、布卡氏综合征的球囊扩张及支架置入术、髂静脉压迫综合征的支架植入、深静脉血栓形成的综合治疗(含下腔静脉滤器置入、取出术)、肺栓塞的碎栓、抽栓治疗。

END

――――――――――――――

文图/肖鹏

审核/陈富强

――――――――――――――

责任编辑:刘再君

执行编辑:张璋

更多服务

【来源于网络,如有侵权请联系删除】
图片关键词

广州市信安智囊科技有限公司   地址:广州市番禺区天安科技园发展大厦6楼

粤ICP备 19016100号